Aller au contenu principal
mskemergencies.com

mskemergencies.com

Orthopedic and Musculoskeletal Emergencies

  • Home
  • Contact
  • About

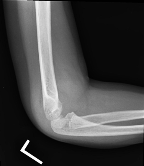
Capture d’écran 2019-02-10 à 17.58.03

février 10, 2019 Return to: The Pediatric Elbow; Looking for CluesFull resolution (488 × 563)

Image navigation

Previous Image
Next Image
Créez un site Web ou un blogue gratuit sur WordPress.com.
Confidentialité & Cookies : Ce site utilise des cookies. En continuant à utiliser ce site, vous acceptez leur utilisation.
Pour en savoir davantage, y compris comment contrôler les cookies, voir : Politique relative aux cookies
  • Commentaire
  • Abonnement Abonné
    • mskemergencies.com
    • Vous disposez déjà dʼun compte WordPress ? Connectez-vous maintenant.
    • mskemergencies.com
    • Abonnement Abonné
    • S’inscrire
    • Ouvrir une session
    • Copier lien court
    • Signaler ce contenu
    • Voir la publication dans le Lecteur
    • Gérer les abonnements
    • Réduire cette barre